About
当院について
院内・設備紹介
料金表
スタッフ紹介
アクセス・診療時間
Our Service
矯正治療
マウスピース・インビザライン
インプラント
一般歯科・予防メンテナンス
補綴・セラミック治療
ホワイトニング
歯周病治療
お知らせ
コラム
症例紹介
お問い合わせ
みなさまにGOOD SMILEを
お届けするために
Delivering a GOOD SMILE to Every one
055-225-2525
Web診療予約
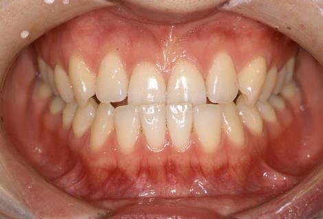
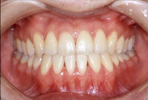
Case
症例紹介
※こちらのページは現在準備中です。
まずはお電話で
ご予約ください
初回予約は
/
こちら/